Аннотация
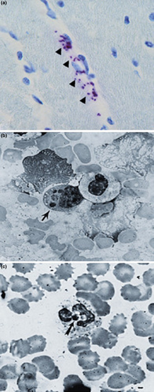
В течение 2014-2017 гг. мы провели скрининг на наличие инфекции Rickettsia japonica в Синьяне (Китай) и выявили 20 случаев. Основными клиническими проявлениями моноинфекции были лихорадка, астения, миалгия, сыпь и анорексия; лабораторные данные включали тромбоцитопению и повышенные концентрации аминотрансферазы печени.
Врачи в Китае должны учитывать инфекцию R. japonica у пациентов из группы риска.
