40-летняя женщина поступила с одышкой при нагрузке, потерей веса и слабостью.
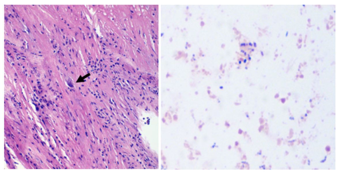
УЗИ сердца показало эндокардит аортального клапана с легким утолщением аортального клапана, вегетациями и тяжелой аортальной регургитацией без стеноза. Пациентка была доставлена в операционную для замены клапана. Биопсия ткани была отправлена на хирургическое патологоанатомическое исследование и микробиологические культуры. Гистология правого и левого коронарных стволов и некоронарных стволов показала очаговую гигантоклеточную реакцию и острую воспаленную грануляционную ткань, соответствующую вегетативному/инфекционному эндокардиту.
При окрашивании по Граму образца ткани были обнаружены грамположительные кокки, но роста бактерий не наблюдалось. Культуры грибков и микобактерий также были отрицательными. ПЦР и секвенирование (BRBPS) выявили Streptococcus mutans.

Очаговая гигантоклеточная реакция (черная стрелка) и резкое воспаление грануляционной ткани, соответствующее вегетативному/инфекционному эндокардиту (левое изображение). Окраска по Граму образца ткани выявила грамположительные кокки (правое изображение).
Обсуждение
BRBPS (Broad Range Bacterial PCR and Sequencing) - это комбинированная методика, сочетающая ПЦР и секвенирование. Первый этап BRBPS - проведение ПЦР, направленной на 16S рибосомальную РНК (рРНК), консервативный ген многих видов бактерий, включая микобактерии. Если ПЦР отрицательная, то секвенирование не проводится, но если ПЦР положительная, то проводится секвенирование, например, секвенирование по Сэнгеру или секвенирование следующего поколения. Последующий биоинформационный анализ результатов секвенирования позволит идентифицировать конкретную бактерию. У данной пациентки ПЦР на 16S рРНК была положительной, а секвенирование выявило S. mutans.
S. mutans относится к вириданс-группе стрептококков и может быть идентифицирована как грамположительная кокковая палочка с альфа-гемолитическим ростом, устойчивая к оптохину и нерастворимая в желчи. Стрептококки группы Viridans проникают в кровоток после стоматологического лечения или стоматологических процедур и могут быть связаны с высоким риском развития инфекционного эндокардита у пациентов с основными заболеваниями сердца.
S. mutans впервые привлек внимание врачей благодаря своей роли в развитии кариеса. S. mutans считается частью нормальной флоры ротоглотки, а точнее зубного налета, и может образовывать биопленки на твердой поверхности зубов. Было показано, что штаммы бактерий, вызывающие эндокардит, способны связываться с коллагеном типов I, III и IV, которые являются основными компонентами сердечно-сосудистых тканей хозяина. Бактерии также обладают факторами вирулентности, которые могут вызывать сильную адгезию к эндотелиальным клеткам человека. Кроме того, агрегация и взаимодействие с фибриногеном, тромбоцитами и комплементом позволяют этим бактериям вызывать сердечно-сосудистые заболевания.
При инфекционном эндокардите в 20% случаев обычные методы, такие как микробиологические культуры, дают отрицательный результат. Несколько исследований показали, что в образцах от пациентов с эндокардитом секвенирование 16s рРНК может правильно определить организм, выросший в культуре, но также успешно обнаружить организмы в образцах, где не было роста, что позволяет клиническим специалистам эффективно лечить пациентов, как в нашем случае.
Для тканей протезов сердечных клапанов чувствительность секвенирования по сравнению с культурой составляет 93% и 35%, соответственно. Исследование, описывающее инфекции перипротезных суставов с использованием жидкости из локтевого сустава, показало, что секвенирование было положительным в 47 образцах, но 8% из них были отрицательными в культуре. Кроме того, секвенирование 16s рРНК оказалось полезным для идентификации бактериальных клещевых инфекций, которые не растут на плотных средах, таких как Borrelia, Anaplasmsa, Ehrlichia и Rickettsia.
Тест BRBPS в идеале должен проводиться на образцах из стерильных источников (суставная жидкость, кровь, сердечные клапаны, ЦСЖ). Идеальными образцами являются те, в которых бактериальные организмы можно визуализировать с помощью микроскопии. Ограничения BRBPS заключаются в том, что этот тест выявляет только бактериальные организмы и не обнаруживает вирусы, грибки и паразитов. Ложноположительные результаты возможны, если образец контаминирован флорой пациента. Ложноотрицательные результаты могут возникать из-за изменчивости последовательности, влияющей на связывание праймеров, наличия ингибиторов ПЦР или количества нуклеиновой кислоты ниже предела обнаружения.
Клинические тесты с использованием методов секвенирования могут быть на сегодняшний день дорогостоящими; те, кто заказывает тесты с использованием секвенирования, должны понимать назначение различных тестов с использованием секвенирования, чтобы заказать наиболее подходящий тест. Например, если есть подозрение на грибковые патогены, подойдет тест на секвенирование, основанный на амплификации генов 28S рРНК или рибосомального ITS для консервативных генов, встречающихся у грибковых патогенов. Такие тесты, где вы избирательно обогащаете специфические мишени, такие как 16s или ITS, являются "целевыми NGS-тестами", которые имеют более высокую чувствительность для обнаружения микроорганизмов в образцах с большим количеством ДНК.
Для сравнения, метагеномика является более универсальным подходом и позволяет обнаружить все нуклеиновые кислоты в образце (включая считывания как хозяина, так и микроорганизмов). Хотя метагеномика может успешно обнаружить патогены, участвующие в инфекции, она также может обнаружить микробиом, присутствующий в том же образце. Следовательно, единственным ограничением является фоновый шум от нуклеиновой кислоты человека и микрофлоры.
Другим видом секвенирования является полногеномное секвенирование (WGS), при котором секвенируется микробный геном конкретного организма. WGS помогает в идентификации, типировании и определении чувствительности микроорганизмов. WGS полезен при выявлении вспышек заболеваний или в эпидемиологических целях, но его ограничение заключается в том, что необходима чистая культура, что является ограничением для организмов, которые нежизнеспособны в культуре.
