37-летняя женщина с псориазом и общим вариабельным иммунодефицитом в анамнезе обратилась к дерматологу по поводу язвы на правой ягодице после туристического похода около 1 месяца назад.
Она подумала, что ее укусил какое-то насекомое, так как поражение стало чрезвычайно зудящим и болезненным. Пациентка самостоятельно обрабатывала место поражения безрецептурной антибиотической мазью и противозудным кремом, но симптомы сохранялись. В тот же период дерматолог лечил у нее дерматофитную инфекцию нижних конечностей, поэтому антибиотический крем и противозудный крем были отменены и заменены на 0,05% клобетазол, мазь от потенциального аллергического дерматита.
Пациентка вернулась к дерматологу примерно через месяц, так как место поражения становилось все более воспаленным и болезненным. Она также начала испытывать ночную потливость и лихорадку, поэтому была переведена и обследована в отделении неотложной помощи. В отделении неотложной помощи дифференциальная диагностика включала инфекцию мягких тканей, целлюлит или абсцесс грибковой, вирусной или бактериальной этиологии.
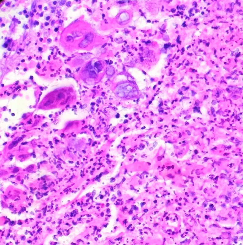
Анализы показали признаки воспаления с повышенным СОЭ и C-РБ. Была проведена перфорационная биопсия и гистологическое исследование показало наличие язвы с выраженным острым воспалительным клеточным инфильтратом и некрозом. В инфицированном сквамозном эпителии были обнаружены признаки (3M: Molding, Margination, Multinucleation), характерные для герпетической инфекции (илл.1). Диагноз был подтвержден иммуногистохимией на комплекс вирусов простого герпеса (ВПГ) (илл.2), а ПЦР-тест дал положительный результат на ВПГ-2.
Следует отметить, что у пациентки в анамнезе был генитальный герпес, однако у нее не было типичного обострения и она прошла 10-дневный курс лечения валацикловиром за 2 недели до посещения врача. Окраска по Граму не выявила нейтрофилов, клеток сквамозного эпителия или организмов, но бактериальные культуры дали положительный результат на MRSA.

Иллюстрация 1. Гистологическое окрашивание, демонстрирующее смешанное острое и хроническое воспаление со сквамозными клетками
с цитопатическим эффектом герпесвируса (увеличение 400х)

Рисунок 2. ИГХ-окрашивание комплекса ВПГ (ВПГ1 и 2) в инфицированных эпителиальных клетках (200х).
Обсуждение
Вирус простого герпеса (ВПГ) - это крупный двухцепочечный ДНК-вирус семейства Herpesviridae. ВПГ-2 обычно считается инфекцией, передающейся половым путем, поскольку он может передаваться при контакте с инфицированными генитальными выделениями. Вирусные частицы, содержащиеся в этих выделениях, могут проникать в эпителиальные клетки и начинать в них репликацию, вызывая характерные внутриядерные включения и многоядерные гигантские клетки, которые можно наблюдать под микроскопом.
Когда вирус инфицирует клетки таким образом, он также может вызвать отделение инфицированных клеток друг от друга и образование сгруппированных везикул, заполненных остатками клеток. Вирус инфицирует нервные окончания и затем перемещается назад в крестцовые ганглии, где он может оставаться латентным в течение всей жизни инфицированного человека. Вначале у пациента могут наблюдаться такие симптомы, как дизурия, лимфаденопатия, лихорадка, головные боли и миалгии, но более половины пациентов могут не знать о наличии у них генитального герпеса.
Рецидивы могут проявляться симптомами покалывания, жжения, зуда и боли в области распространения нерва, подобно боли и зуду в нашем случае. При подозрении на ВПГ-инфекцию наилучшим методом диагностики обычно является ПЦР на ДНК ВПГ, более быстрая и чувствительная, чем культивирование вируса. Пациента с диагностированной герпетической инфекцией следует лечить противовирусными препаратами; однако поражения могут самостоятельно исчезнуть в течение 3 недель.
Отличительной особенностью нашего случая было то, что реактивация генитального герпеса у пациентки произошла на ягодицах. Повторное инфицирование ВПГ не на гениталиях чаще происходит в том случае, если первичное инфицирование также произошло не на гениталиях. Инфекции, возникающие на негенитальных участках, таких как ягодицы, также могут быть вызваны самоинфицированием, что, возможно, имело место у нашей пациентки. Кроме того, повторные инфекции ВПГ в негенитальных местах встречаются чаще, если первичная инфекция была вызвана ВПГ-1, но у нашей пациентки ПЦР показала наличие ДНК ВПГ-2. Одно из объяснений этого явления заключается в том, что рецидивы ВПГ-2 могут возникать на ягодицах вследствие ретроградного транспорта в корешковые ганглии в областях, соответствующих этим дерматомам
Еще одним отклонением в представленном нами случае является персистирование инфекции, несмотря на лечение валацикловиром в течение 10 дней. Как правило, первичная герпетическая инфекция проходит в течение нескольких недель, а рецидивирующий эпизод проходит в течение нескольких дней, обычно не более десяти. Необычно, что инфекция сохранялась, несмотря на терапию, но у пациентки в анамнезе были симптомы, характерные для COVID.
Пациенты с ослабленной иммунной системой могут дольше бороться с герпетической инфекцией, даже если они принимают противовирусные препараты. Кроме того, существует теория, что инфекции герпеса на ягодицах протекают дольше, чем в других областях, из-за большей длины пути по нервным волокнам и более высокой концентрации нервных окончаний в этой области. У пациентки в нашем случае также были получены положительные результаты посевов тканей на MRSA, что означает наличие сопутствующей бактериальной и вирусной инфекции в области ягодиц, и лечение противовирусными препаратами было бы недостаточным для устранения коинфекции.
