В 2019 году исследователи сообщили о новом семействе ДНК-вирусов, Redondoviridae, которые часто обнаруживаются в мазках из ротовой полости человека и особенно часто они обнаруживаются в случаях пародонтита и других заболеваний.
Однако до сих пор было неизвестно, инфицируют ли Redondoviridae сами клетки человека или какие-либо эукариотические микробы, обитающие в полости рта; геномные последовательности вирусов указывали на то, что бактерии вряд ли могут быть их хозяевами.
Новое исследование, опубликованное 1 декабря в журнале Cell Host & Microbe, указывает на протисту Entamoeba gingivalis как на хозяина этих вирусов, основываясь на филогении, совместном присутствии обоих организмов в образцах человека и анализе культур амебы. Эти результаты подкрепляют вычислительный прогноз, сделанный независимо другой группой и опубликованный 16 сентября в журнале Virus Evolution, который предполагал, что этот эукариот является наиболее вероятным хозяином.
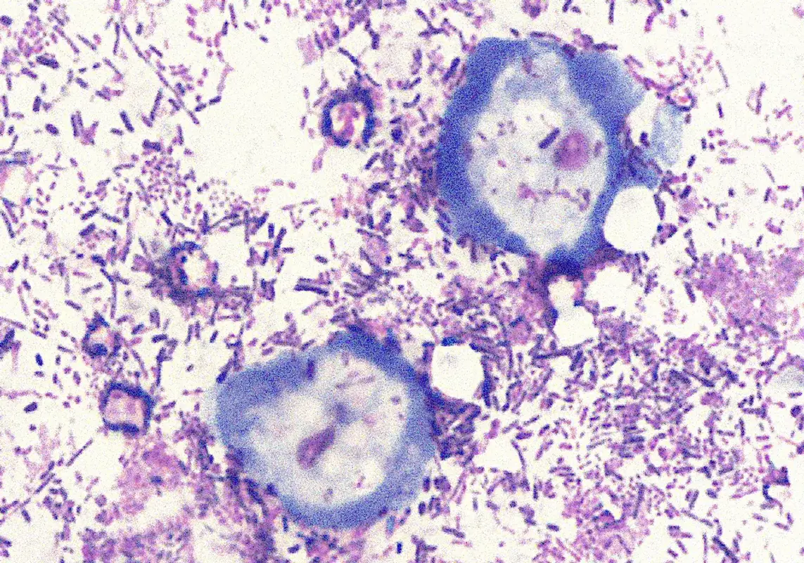
"Мы хотели узнать, на каких клетках они растут, поскольку редондовирусы очень часто встречаются в человеческих образцах, связанных с заболеваниями", - говорит микробиолог Фредерик Бушман из Университета Пенсильвании, который возглавлял группы, предложившие отнести редондовирусы к новому семейству и проведшие новое исследование их предполагаемого хозяина. Эти вирусы "особенно хорошо растут в [случаях] пародонтита", добавляет он, поэтому "мы начали изучать клетки, которые находятся в придесневой щели" человека, где зубы соединяются с деснами.
Первая серия анализов привела их к E. gingivalis - часто встречающемуся в десневой щели и связанному с пародонтитом - в качестве потенциального кандидата. Ранняя подсказка заключалась в том, что один из ближайших родственников редондовирусов, семейство Naryaviridae, инфицирует клетки другого вида Entamoeba. Затем, когда исследователи искали возможные совпадения E. gingivalis и редондовирусов в человеческих образцах, используя ранее опубликованные собственные данные и данные других исследовательских групп, они обнаружили сильную положительную связь.
Проверка этой связи в лаборатории оказалась более сложной задачей, объясняет Бушман. Пока невозможно вырастить эту амебу самостоятельно в культуре. Вместо этого авторы получили культуру E. gingivalis из Американской коллекции типовых культур. В ней исследователи обнаружили ДНК и РНК редондовирусов. Поскольку эта культура "выращивалась в течение некоторого времени", все, что в ней было обнаружено, "предположительно должно было реплицироваться там" в отсутствие человеческих клеток, говорит Бушман.
Наконец, его группа использовала метод под названием Hi-C для сшивания близлежащих последовательностей ДНК в культуре. Если ДНК-вирус растет внутри клетки, то при использовании этого метода фрагменты его ДНК должны соединиться с фрагментами ДНК хозяина, объясняет Бушман. Он и его коллеги действительно обнаружили химерные последовательности E. gingivalis и редондовирусов с большей частотой, чем можно было ожидать только в результате случайности, что является дополнительным доказательством того, что амеба, скорее всего, и есть тот самый хозяин, который существовал ранее инкогнито.
Идентификация вируса в культуре исторически является "золотым стандартом" в вирусологии для подтверждения хозяина, объясняет Кормак Кинселла, специалист по вычислительной биологии из Амстердамского университета и соавтор статьи в журнале Virus Evolution. Это, а также анализ перекрестных связей ДНК и остальные данные нового исследования позволяют сделать "очень уверенный вывод" о том, что E. gingivalis действительно является хозяином, добавляет он. Кроме того, Кинселла подчеркивает, что, используя совершенно разные подходы, обе группы пришли к этому выводу независимо друг от друга.
Однако выявление хозяина этих вирусов еще не дает ответа на вопрос, играют ли они какую-то роль в заболевании, или же их обнаружение просто отражает присутствие амебы, роль которой в заболевании сама по себе неясна. Даже если E. gingivalis действительно является патогеном, способствующим развитию пародонтита, "в настоящее время нет причин думать, что редондовирусы оказывают влияние" на этот патогенез, говорит Бушман. "Но это также не исключено". Например, они могут модифицировать амебу так, чтобы она успешнее инфицировалась, как это делает неродственный вирус с паразитическими простейшими.
Бушман подчеркивает, что, учитывая, что большинство исследований вирома человека сосредоточено на вирусах, инфицирующих бактерии, эта работа подчеркивает потенциал эукариотических микробов, связанных с человеком, выступать в качестве хозяев вирусов, обнаруженных в человеческом организме.
