Клетки плодовой мушки используют ранее неизвестные сложные клеточные структуры для хранения фосфата, молекулы, необходимой для жизни.
Фосфаты необходимы для жизни. Недавно исследователи обнаружили крошечную структуру внутри клеток животных, которая действует как резервуар фосфатов, помогая регулировать уровень этого питательного вещества внутри клеток и запуская процессы, поддерживающие ткани при его нехватке. Авторы классифицируют эту структуру как новый тип органелл - фундаментальных структур в клетках, таких как ядро, митохондрии и мембрана, которые функционируют как миниатюрные органы в клетке.
"Это одно из первых исследований, в котором действительно обнаружено хранение фосфатов в животной клетке", - считает Ребекка Вильд, структурный биолог из французского национального исследовательского агентства CNRS в Гренобле, которая не принимала участия в исследовании. "Это действительно интересно".
В растениях, бактериях и дрожжах фосфат важен для роста клеток, помогает им взаимодействовать и вырабатывать энергию. Хотя известно, что он необходим в тканях и клетках животных, лишь немногие исследования изучали его специфические функции. Чарльзу Сю, генетику из Университета Рокфеллера в Нью-Йорке, было интересно узнать, какую роль играет фосфат в регулировании обновления тканей в кишечнике плодовой мушки - удобной модели для изучения того, как заболевания влияют на клетки кишечника человека. "Это не очень хорошо изучено, особенно в клетках животных", - говорит Сю.
Сю и его коллеги кормили плодовых мушек (Drosophila melanogaster) фосфонофорной кислотой, которая препятствует поглощению фосфора в клетках. Когда исследователи окрашивали и визуализировали клетки кишечника мух они заметили, что отсутствие фосфата привело к резкому увеличению числа клеток. Такое быстрое размножение клеток происходило и тогда, когда Сю и его коллеги кормили мух пищей, содержащей на 10% меньше фосфатов, чем стандартные количества, что указывает на то, что фосфаты действительно влияют на количество клеток.
Чтобы выяснить, каким образом фосфат оказывает такое влияние, Сю и его коллеги исследовали, влияет ли низкий уровень фосфата на экспрессию генов. Ген, который авторы назвали PXo, похож на ген млекопитающих, кодирующий фосфат-чувствительный белок. Авторы обнаружили, что экспрессия PXo была слабее, когда клетки были лишены фосфатов. Снижение экспрессии гена также приводило к ускорению клеточного деления. Однако деление клеток замедлилось, когда исследователи изменили ген так, чтобы он сверхэкспрессировал белок PXo.
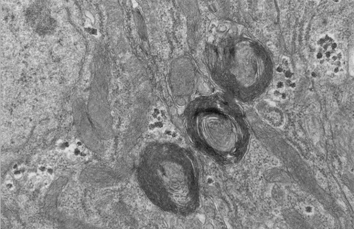
Исследователи пометили белок PXo флуоресцентной меткой и обнаружили, что он связан с массивом структур овальной формы в клетках, которые не были похожи ни на одну из известных органелл. "Они были довольно заметны, и нам стало интересно, что это такое", - рассказывает Сю. Когда ученые рассмотрели загадочные структуры поближе, они увидели, что у них несколько мембранных слоев, и белок PXo переносит фосфат через них. Оказавшись внутри незнакомых органелл, фосфат превращался в фосфолипиды - основные строительные блоки клеточных мембран.
Когда клетки мушек лишались фосфата, органеллы распадались и высвобождали запасенные фосфолипиды в каждую клетку, что указывает на то, что они функционируют как резервуары. Этот распад активировал клеточный механизм, известный как Cka, запустив сигнал стресса, который увеличил производство новых клеток. Это может быть способом поддержания стабильного уровня фосфатов в кишечнике, поскольку увеличенное количество клеток может поглощать большее количество питательного вещества, отмечает Сю,. "Для организма полезно восстанавливать больше этих здоровых [клеток]", - говорит он.
Вильд считает, что полученные результаты закладывают основу для изучения вопроса о том, существуют ли подобные органеллы, хранящие фосфаты, у других животных, включая человека. Она добавляет, что было бы полезно глубже изучить структуру белка PXo, чтобы выяснить, как он переносит фосфат в органеллы. "Это было бы очень интересно, особенно для специалистов в области структурной биологии", - говорит она.
По словам Сю, следующим шагом может стать изучение того, как эти фосфат-запасающие органеллы взаимодействуют с другими органеллами и как их динамика меняется со временем. "Это открывает дверь для многих других возможностей", - отмечает он. Открытие новой органеллы в клетках животных также подчеркивает, как много еще предстоит узнать о физиологии клетки, добавляет Сю. " Все загадки уже здесь, они просто ждут, пока мы их разгадаем".
