Новое исследование образцов кишечника людей, умерших от COVID-19, показало влияние вируса на иммунную систему кишечника.
В исследовании, опубликованном в журнале Frontiers in Immunology учеными из Королевского колледжа Лондона были изучены образцы желудочно-кишечного тракта пациентов, которые умерли во время первой волны пандемии COVID-19.
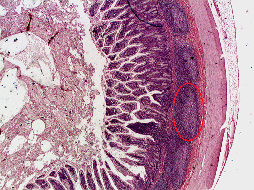
Лимфоидная ткань в кишечнике обычно поддерживает здоровые популяции кишечных микроорганизмов. Исследователи заметили, что система, которая обычно регулирует состав микробных сообществ - иначе известная как "Пейеровы бляшки" - была серьезно нарушена при тяжелой форме COVID-19. Это происходило независимо от того, присутствовал ли вирус в кишечнике или нет. Хотя тяжелая форма COVID-19 может привести прежде всего к проблемам с легкими, у некоторых пациентов могут наблюдаться диарея, тошнота и рвота, что свидетельствует о поражении желудочно-кишечного тракта.
Профессор Джо Спенсер из Королевского колледжа Лондона говорит: "Это исследование показывает, что при тяжелой форме COVID-19 этот ключевой компонент иммунной системы кишечника нарушается независимо от того, инфицирован ли сам кишечник SARS-CoV-2. Это, вероятно, способствует нарушениям в популяциях кишечных микроорганизмов при COVID-19, о которых сообщали другие специалисты".
Анализ образцов умерших пациентов показал, что структура Пейеровых бляшек - группах лимфоидных фолликулов, выстилающих тонкий кишечник - была изменена независимо от местного уровня вируса. Это включало истощение герминальных центров, в которых обычно размножаются клетки. Такое ухудшение местного иммунитета может привести к снижению микробного разнообразия, известному как дисбиоз. Исследователи также отметили, что полученные результаты свидетельствуют о том, что оральная вакцинация может быть неэффективной, если пациент уже болен, поскольку иммунная система кишечника уже скомпрометирована. Спенсер отмечает, что в будущем будет важно понять факторы, вызывающие дисрегуляцию лимфоидной ткани при тяжелых воспалительных реакциях.
