Мужчина 36 лет поступил в внешнюю клинику с двухнедельным усилением головной боли, лихорадкой и изменением психического состояния.
Первоначально пациент обратился к своему лечащему врачу с головной болью, по поводу которой ему была сделана инъекция антибиотика. В течение следующих нескольких дней у него поднялась температура до 39,4 C, ухудшилось психическое состояние и появился понос. После госпитализации у него начались судороги, он был интубирован и переведен в отделение интенсивной терапии. Компьютерная томография выявила множественные очаги кольцевого усиления по всему мозгу, наиболее заметные в правой теменной доле. Кроме того, у него был обнаружен ВИЧ. Заболевание быстро прогрессировало с ухудшением рефлексов ствола мозга и выраженным отеком головного мозга, что послужило поводом для проведения биопсии мозга.
Лабораторная идентификация
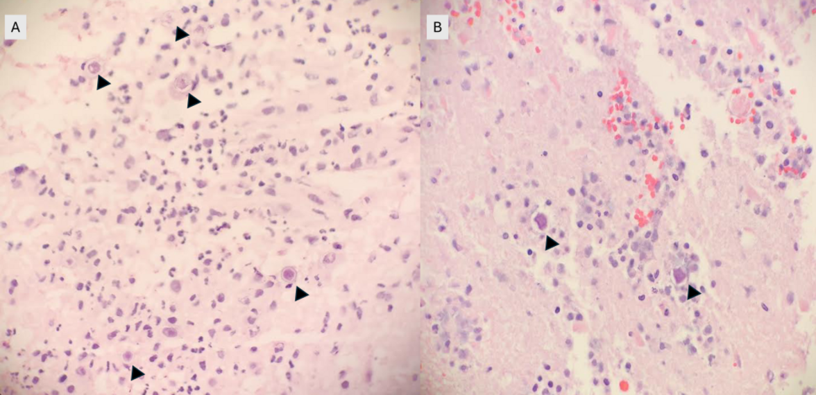
Срезы биоптата выявили выраженную некротическую ткань мозга с амебными цистами и трофозоитами, соответствующими свободноживущим амебам (илл.1). Цитология цереброспинальной жидкости (ЦСЖ) была без особенностей. Был проведен специфический иммуногистохимический анализ на виды Acanthamoeba, подтвердивший диагноз гранулематозного амебного энцефалита, вызванного Acanthamoeba.

Иллюстрация 1. Срезы биоптата демонстрировали амебные цисты (наконечники стрелок) на фоне некроза, кровоизлияния и воспаления (400-кратное увеличение).
Обсуждение
Acanthamoeba - свободноживущие амебы, встречающиеся по всему миру в различных объектах окружающей среды, включая почву, воду, сточные воды, бассейны, загрязненные растворы для контактных линз, системы отопления, вентиляции и кондиционирования воздуха. Жизненный цикл Acanthamoeba состоит из двух стадий: цисты и трофозоиты. Хотя трофозоиты представляют собой инфекционную форму, и цисты, и трофозоиты могут попасть в организм через различные пути, включая глаза, носовые ходы или поврежденную кожу. Существует три различных заболевания, которые могут быть вызваны Acanthamoeba: акантамебный кератит, диссеминированная инфекция и гранулематозный амебный энцефалит.
Гранулематозный амебный энцефалит - это паренхиматозное заболевание, которое возникает, когда Acanthamoeba попадает в организм через дыхательную систему или поврежденную кожу, распространяется гематогенным путем и вторгается в центральную нервную систему. Факторы риска включают иммунокомпрометированный статус, например ВИЧ/СПИД, трансплантацию органов в анамнезе, неконтролируемый сахарный диабет, цирроз печени и злокачественные новообразования.
Клиническое течение, как правило, подострое или хроническое, с прогрессирующей неврологической декомпенсацией в течение нескольких недель или месяцев и в конечном итоге летальным исходом. При визуализации могут выявляться кольцевидные очаги, окклюзии артерий, инфаркты, смещения желудочков и участки аномального усиления. Анализ ЦСЖ может показать плеоцитоз с преобладанием лимфоцитов, повышенным содержанием белка и пониженным содержанием глюкозы; амебы обычно не выявляются. Хотя микроскопические признаки цист и/или трофозоитов свидетельствуют о наличии свободноживущих амеб в инфицированных тканях, диагноз должен быть подтвержден с помощью специфических иммуногистохимических анализов или молекулярных методов на основе ПЦР.
В настоящее время не существует стандартного рекомендованного лечения и ни один препарат не обладает универсальной эффективностью. В редких успешных случаях применялась длительная терапия с использованием комбинаций пентамидина изетионата, сульфадиазина, амфотерицина D, азитромицина, флуцитозина, а также флуконазола или итраконазола.
Данный пациент получал лечение милтефозином, флуконазолом, пентамидином, флуцитозином и сульфадиазином, сульфаметоксазолом/триметопримом и азитромицином и леветирацетамом для профилактики судорог. Хотя повторная МРТ головного мозга/ствола мозга показала некоторое снижение тяжести заболевания, пациент по-прежнему не реагировал на вербальные, тактильные и болевые раздражители, а его общий прогноз оставался неблагоприятным. Пациента выписали в стационар для длительного лечения, но через неделю он вернулся в отделение неотложной помощи с повторными судорогами, гипотонией и лихорадкой. При визуализации были обнаружены новые участки ограниченной диффузии в правой затылочной и левой теменной долях. Несмотря на продолжающееся лечение, состояние пациента продолжало ухудшаться и он умер примерно через три месяца после постановки первоначального диагноза.
