Мужчина 47 лет с обширным офтальмологическим анамнезом, включающим лазерный кератомилезис in situ (LASIK) и миопическую дегенерацию с неоваскуляризацией, для лечения которой ему были прописаны жесткие и мягкие контактные линзы, обратился по поводу двустороннего покраснения глаз, слезотечения и жгучей боли.
Недавно он забыл свои мягкие контактные линзы и надел жесткие линзы на работу на стройке, что, по его словам, он делал раз в 1-2 месяца. Осмотр глаз выявил только обычные хронические признаки. Симптомы улучшились при использовании глазных капель с моксифлоксацином, но полностью не прошли. Через месяц он вернулся с тем, что первоначально было оценено как диффузный отек роговицы и конъюнктивальная инъекция в левом глазу, но без кольцевого инфильтрата или эпителиального дефекта.
Через два дня в левом глазу появился большой эпителиальный дефект с окружающим кольцевым инфильтратом и гипопион (оседание лейкоцитов у основания передней камеры). Конфокальная микроскопия показала наличие инфекции Acanthamoeba, и смывы с контактных линз и футляра были отправлены на культивирование. Были выделены микроорганизмы, включая Klebsiella varicola, Chryseobacterium gleum и Pseudomonas fluorescens. Кроме того, культуры Acanthamoeba sp., когда образец накладывается на газон из E. coli, выращенной на чашке с непитательным агаром, были отправлены в референс-лабораторию.
Пациента лечили броленом, полигексамидом бигуанидом и хлоргексидином в отношении Acanthamoeba, а также антибактериальными препаратами. Через три месяца его лоскут LASIK не выдержал, был удален и отправлен на культуру и гистологию, в обоих случаях была обнаружена Acanthamoeba sp. (изображение 1). Он продолжал лечение еще два месяца, но дефект роговицы увеличился. Ему была проведена терапевтическая сквозная кератопластика, а эксплантированная роговица была отправлена на гистопатологическое исследование. На срезах было обнаружено острое и хроническое воспаление эпителия и стромы роговицы с редкими кистами Acanthamoeba с атипичной морфологией, возможно, представляющими эффект лечения или нежизнеспособные организмы (изображение 2). В дальнейшем пациент еще в течение месяца продолжал лечение, после чего симптомы прошли.

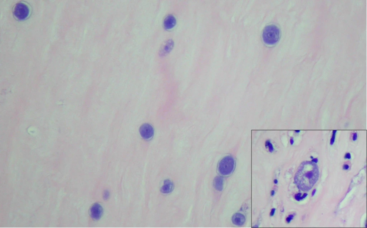
Изображение 1.Микрофотографии роговицы с множественными формами кист Acanthamoeba на разных стадиях развития (400-кратное увеличение) и трофозоитов с сопутствующим острым воспалением (вставка, 500-кратное увеличение, масляная иммерсия).

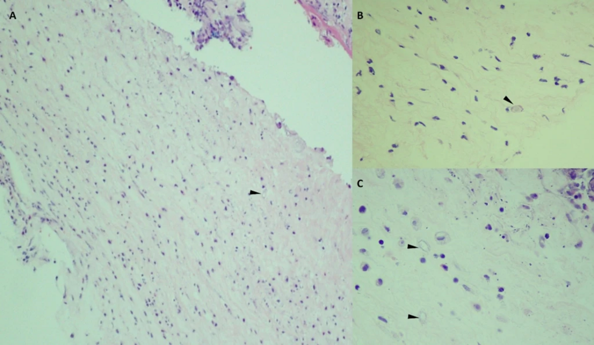
Изображение 2. Микрофотография эксплантированного лоскута LASIK этого пациента. A) При малом увеличении видно острое и хроническое воспаление на фоне деградирующей ткани роговицы. Пустая киста указана стрелкой (100-кратное увеличение). B и C) Вероятные нежизнеспособные кисты, указанные стрелками (400-кратное увеличение).
Обсуждение
Acanthamoeba sp. - это свободноживущие амебы, которые повсеместно встречаются в окружающей среде, в том числе в воде, почве, пыли и воздуховодах кондиционеров. Было выявлено более 20 видов Acanthamoeba, из которых восемь известны как возбудители заболеваний человека. A. castellani и A. polyphaga являются наиболее распространенными видами, выявленными при клинических инфекциях.
Acanthamoeba sp. являются основным резервуаром Legionella pneumophilia и могут служить переносчиками других бактериальных инфекций. Эти организмы могут колонизировать носовые ходы здоровых людей. Инфекции Acanthamoeba имеют различные клинические проявления в зависимости от пути передачи, инфицированного органа (органов) и иммунного статуса хозяина. К ним относятся амебный кератит, гранулематозный амебный энцефалит и диссеминированная инфекция. Из них наиболее часто клинически встречается акантамебный кератит (АК).
АК может возникнуть при инокуляции организмов в микротравмы роговицы, чаще всего из контаминированных жестких контактных линз, промытых водопроводной водой. АК составляет 5% всех случаев контактно-линзового кератита, и 70-85% случаев АК связаны с использованием контактных линз.
Диагностика АК в значительной степени требует высокой настороженности, поскольку АК проявляется неспецифическими глазными симптомами, включая затуманенное зрение, светобоязнь, воспаление и боль в глазах. Характерен кольцевой инфильтрат роговицы, но он присутствует только в 50% случаев. Хотя исторически культура является золотым стандартом диагностики, современные технологии, такие как конфокальная микроскопия и ПЦР, значительно улучшили чувствительность и время постановки диагноза.
Культуры обычно выращиваются на агаровых средах, покрытых газоном грамотрицательных бацилл, таких как E. coli. Если присутствует Acanthamoeba, следы бактериального очищения обычно видны в течение нескольких дней, но могут занять до нескольких недель. Acanthamoeba имеют спящие цисты и активные формы трофозоитов. Микроскопически они выглядят как круглые гетерогенные тельца с отчетливым ядром, окруженные взъерошенной мембраной и длиной 15-35 мкм. ПЦР, учитывая ее аналитическую чувствительность, специфичность и время проведения, является более распространенным методом диагностики АК и сегодня заменяет культивирование во многих случаях.
АК имеет плохой прогноз и потенциально опасен для зрения. Факторы, способствующие тяжести заболевания, включают несвоевременную диагностику, патогенные факторы и отсутствие эффективного медицинского лечения. Почти 40% пациентов не получают начальную терапию. Факторы, способствующие патогенности Acanthamoeba, включают производство ферментов, включая эластазы и протеазы, молекулы адгезии и физиологическую толерантность к различным температурам, осмолярности и рН.6
Стадия цист обеспечивает резистентность ко многим методам лечения, что усугубляется плохим проникновением в ткани антимикробных препаратов, часто используемых в терапии. Повторное воздействие терапевтических антимикробных препаратов также может привести к развитию резистентности. В случае нашего пациента лечение было успешным после удаления лоскута, что способствовало более глубокому проникновению препаратов и подтверждалось гистологическими свидетельствами эффекта лечения в эксплантированной роговице.

Жизненный цикл Acanthamoeba spp.
